Locales |
La ministra de Salud Pública, Paola Benítez, encabezó el acto que se realizó en el Centro de Salud "Cristo Rey" de Resistencia. A la provincia llegaron más de 126 mil dosis destinadas a la población más vulnerable y se aplicarán en paralelo a las vacunas contra COVID-19.

Locales |
Jueces y profesionales de la abogacía podrán capacitarse en "Técnicas de litigación oral civil" y en "Técnicas y habilidades para la conducción de audiencias orales civiles" que brindará el Ejecutivo provincial junto al Centro de Estudios de Justicia de las Américas (CEJA), la Universidad Nacional del Nordeste (Unne) y el Superior Tribunal de Justicia (STJ).

Locales |
En un encuentro encabezado por la secretaria de Desarrollo Territorial y Ambiente y el presidente de la Legislatura, se acordó la continuidad laboral de los trabajadores de UNITÁN e INDUNOR. Además se avanzó en un plan de sostenibilidad de la actividad.

Locales |
Se trata del edificio del barrio Cacique Pelayo, donde se realizan actividades educativas, culturales y de organización vecinal. Junto a la intendenta Patricia Rodas y funcionarios del gabinete supervisaron además trabajos de pavimentación, extensión de cloacas y construcción de desagües pluviales en diferentes puntos de la ciudad.

Locales | Un fallo de segunda instancia confirmó la condena contra la telefónica por los daños y perjuicios ocasionados a un cliente al que demoró casi nueve meses en instalarle la línea telefónica y el servicio de internet en su nuevo domicilio.

Locales | "Seguimos trabajando con cada sector productivo de la provincia, para avanzar con políticas que apuntan a reactivación económica y la recuperación del Chaco", sostuvo el titular de la cartera industrial-productiva.
Locales | El intendente hizo entrega de reflectores LED a la cancha de Villa Forestación Sur. Además, el secretario de Gobierno Guillermo Soria entregó camisetas al club Atlético Vilelenbse.
Locales | Ocurrió en la noche del lunes, por calle Fray Bertaca 640, en Resistencia. El dueño de la vivienda sufrió quemaduras leves.
Locales |
La ministra de Salud destacó el avance de la Campaña de Vacunación contra el COVID-19 y la capacidad de internación provincial, pero solicitó a la población extremar los cuidados para evitar que se resienta el sistema sanitario.

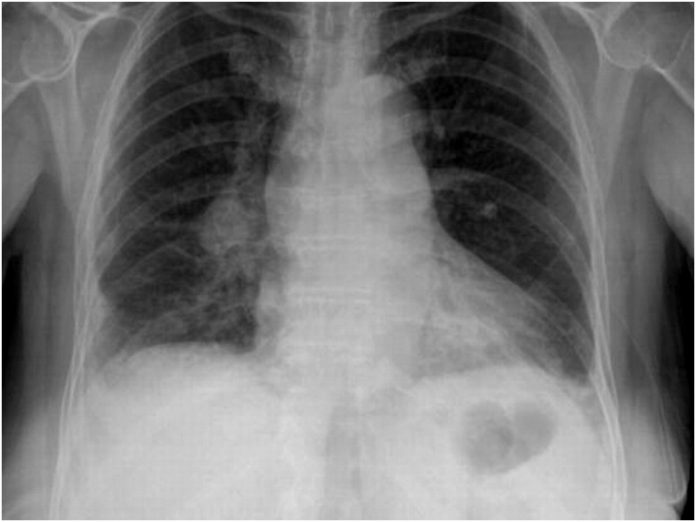
Locales | Una de las complicaciones que se pueden presentar en los pacientes con coronavirus es la neumonía bilateral, una afección al sistema respiratorio que ataca a los dos pulmones y, en los casos graves, puede precisar internación y causar la muerte.
Locales |

En el marco del Plan Eco Ciudad, se llevó a cabo un operativo de mantenimiento general en el Parque Ávalos con el objetivo de dejarlo en óptimas condiciones para el disfrute de las familias.
Locales | Investigadores del Museo de San Pedro y de la Universidad de Rosario dan a conocer el hallazgo de un quirquincho de 700 mil años de antigüedad y que, en vida, habría alcanzado unos 60 centímetros de longitud, por lo que era un 15 por ciento más grande que los ejemplares de mayor tamaño de la actualidad.
Locales |
Hace pocos días se cumplió un año del lanzamiento de la cruzada “Sumate” impulsada por la Facultad de Ingeniería de la UNNE, destinada a la impresión de mascarillas para los profesionales de la salud o para todo aquel que debía entrar en contacto directo con personas portadoras de coronavirus.

Locales | El director del sanatorio Palacio de Resistencia, José Uriona, mostró la preocupación que hay en el sector de la salud privada debido al aumento de la demanda producto del incremento de casos positivos de coronavirus. Advirtió que en las últimas dos semanas algunas instituciones tuvieron una ocupación de hasta el 90% de plazas destinadas a pacientes con COVID-19. “Si esto sigue así, el sector privado puede colapsar”, advirtió.
Locales |
Saldrán a pista más de 800 animales correspondientes a distintas categorías, aportados por 40 productores de la zona. El evento será transmitido en vivo por Internet ya que el ingreso de público en general estará restringido, debido a la situación epidemiológica por Covid-19.





Página 1120 de 5537
Copyright ©2011 | www.ActualidadChaco.com
www.iefer.org.ar | Todos los derechos reservados
info@actualidadchaco.com | redaccion@actualidadchaco.com
Fundación IEFER
Portada | Locales | El interior | Regionales | Nacionales | Internacionales | Deportes | Espectáculos

DESARROLADO POR: www.chamigonet.com.ar